他院から紹介
18歳女性。発熱・咳嗽・呼吸困難。
体温38℃、SpO₂92%。
前医CTは両肺の浸潤影+すりガラス影。
指導医「肺炎?B先生、ファーストタッチ頼んだぞ!」
研修医B「は、はいっ!」
—— 数分後 ——
研修医B「せ、先生っ!! 急性”好酸球”性肺炎かもです!!」
指導医「え、なんで? 血液の好酸球、上がってないよ?」
研修医B「なんかぁ……タバコのニオイしてぇ……
変だなと思ってぇ…聞いたらぁ…… 今週から吸い始めたって言ってぇ……
でぇ…CTがぁ…国試の過去問にそっくりでぇ……
解説にぃ…“好酸球は早期には上がらないこともある”って書いてあったの思い出してぇ……」
(おどおど)
—— 翌日の検査 ——
末梢血の好酸球数:3800/µL(通常<440)
気管支肺胞洗浄液の好酸球:42%(通常<1%)
指導医「嗅覚スゴッ」 (いろんな意味で)
解説
急性好酸球性肺炎(AEP)とは、白血球の一種である”好酸球”がアレルギーに近い免疫反応によって肺に集まり、発熱や呼吸困難を引き起こす急性の肺炎です。
AEP の発症トリガーとして最も多いのは”喫煙”で、とくに20歳前後の若年者に多くみられます。
典型的には、
1)初回喫煙
2)喫煙習慣があっても短期間で喫煙量を急増
3)禁煙していたが再開 といったタイミングで発症します。
したがって、本症例のように「若年で最近喫煙を始めた」という情報は非常に重要で、20歳未満の患者からタバコのにおいを察知してAEPを疑えたB先生の着眼はお見事です。
喫煙以外のトリガーも、ほとんどが吸入曝露に関連しており、電子タバコ、麻薬などの違法薬物、有機溶剤、粉じんといった職業性曝露が原因となることもあります。
そのため問診では、喫煙歴・職業歴・薬物使用の可能性 を確実に確認することが大切です。
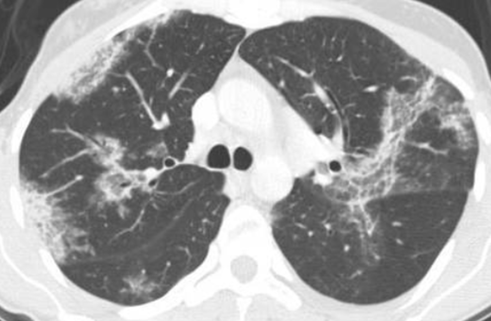
胸部CTでは、両側性のすりガラス影や浸潤影が主体で、その分布は非区域性・ランダムを基本としつつ、時に中枢優位、あるいは末梢優位となるなど多様性を示します。
(赤矢印:ランダム〜中枢優位のすりガラス影・浸潤影、青矢印:胸膜直下の非区域性浸潤影)
国家試験や専門医試験でも、喫煙歴・好酸球データ・CT所見の組み合わせからAEPを診断させる問題は頻出します。
呼吸器専門医であれば一目で気づく所見ですが、こうした知識を直近で学習している研修医もAEPに気づきやすいかもしれません。
AEPの診断には、気管支鏡による肺生検での好酸球浸潤や、気管支肺胞洗浄液中の好酸球増多が重要ですが、末梢血の好酸球増多 も有用な所見です。
ただし、発症早期には好酸球が正常のことがあり、数日〜1週間遅れて上昇することがあります。
これは肺で増加した好酸球が後から血液に移動するためと考えられており、この点を理解していたB先生はさすがと言えます。
なお、本症例は若手医療者に向けて、「喫煙歴聴取の重要性」や「典型例のイメージを持つことの大切さ」を共有する目的で構成したものです。エピソードは過去の実例に基づいて再現しており、掲載している匿名画像は Radiopaedia より引用しています。

<スマートフォンをご利用の皆さまへ>
他の記事をご覧になりたい場合は、画面下の「メニュー」「検索」「サイドバー」を使って、気になる話題を検索することもできますので、ぜひご活用ください。
<PCをご利用の皆さまへ>
他の記事をご覧になりたい場合は、画面上部のメニューバーや画面右側のサイドバーをご利用いただき、気になる話題をお探しください。
