救急外来
救急外来、42歳女性。
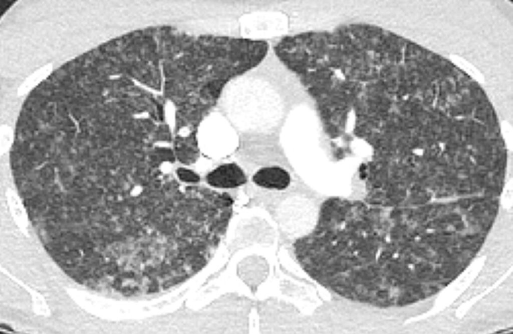
発熱と呼吸困難!

指導医「(この胸部CT所見は!?)
B先生、入院担当、頼んだぞ!」
研修医B「は、はいっ!」
—— 入院後 ——
研修医B「せ、先生っ!!大変です!
お風呂のジェットバスが原因かもです!!」
指導医「え~?風呂?なんで?」
研修医B「なんかぁ…このCT画像…
『過敏性肺炎診療指針2022』
に載ってた画像にそっくりでぇ。
あ~これ、過敏性肺炎だわ~って思ってぇ。
その本読んだらぁ、
『原因吸入抗原の特定』が重要だから、
『徹底的問診が必要』って書いてあってぇ。
徹底的?うわぁ~大変だぁ~って思ってぇ。
でぇ、“徹底的”に聞いたらぁ
患者さん、半年前にジェットバス設置して、
全~然、掃除してないらしくてぇ…
こ、これがhot tub lungってやつかぁ?って思ってぇ」
(ドキドキ…)
—— そして精査 ——
典型的CT所見!
肺生検で肉芽腫+リンパ球性胞隔炎!
気管支肺胞洗浄(BAL)でリンパ球上昇!
→非線維性過敏性肺炎と診断!
BAL液培養でアビウム菌(MAC)陽性!
ジェットバス水培養でもMAC陽性!
遺伝子解析で両者のMAC遺伝子型が一致!
ジェットバス使用で症状誘発あり、問診情報と一致!
→原因はジェットバスに繁殖したMAC菌!
指導医「問診が、徹底的すぎる!」
解説1
解説:
過敏性肺炎(HP)は、以前にも解説しましたが、ざっくり言うと、
吸い込んだ抗原(カビ・鳥・細菌など)に対する“免疫反応”で、肺胞〜細気管支に炎症が起こる病気です。
基本的には感染とは別物で、「肺のアレルギー(免疫性の肺炎)」に近い病態です。
「原因を吸うと炎症が起きる」
「吸うのをやめると治る」
「また吸うと再燃する」
そのため、診断・治療のキモは原因抗原を見つけて、避ける(抗原回避)。ここに尽きます。
HPには線維化を伴わない非線維性HPと、線維化を伴う線維性HPがありますが、今回の症例は非線維性HPです。
HPの詳細は以下をご参照ください。
Hot tub lungとは?
HPの原因抗原は山ほどあり、全部確認するのは難しいのですが、お風呂に関連したHPとして有名なのがHot tub lung(ホットタブ肺)です。
原因抗原は、温水浴槽に定着・増殖した自然界にどこにでもいる雑菌=非結核性抗酸菌で、特にMycobacterium avium complex(MAC)が多いです。
この菌は30〜45℃のぬるま湯で生育しやすく、つまりお風呂の環境が増殖に適した環境です。
原因環境:
・家庭用ジェットバス/ジャグジー(配管内)
・屋外/公共スパのホットタブ
・24時間風呂
・超音波式加湿器
・シャワーヘッド
・室内プールの噴水・滝
・足湯(循環式)
上記の環境で清掃が不十分だと菌が増殖し、その菌を含んだエアロゾルを定期的に吸入することで発症します。
“感染”じゃないのか?
ここが混乱しやすい点です。
Hot tub lungはMACが肺に感染して増殖しているというより、MACを含むエアロゾルを吸うことで免疫反応を起こしているという意味合いが強いです。
治療は?
基本的には他の非線維性HPと同じで、原因抗原を同定し、隔離・排除することで自然軽快します。
一部の重症例ではステロイドが必要になることがあります。
ただし過去の症例報告では、通常の非線維性HPは原因から完全に離れれば改善することが多い一方で、本疾患では隔離しても改善に乏しいことがあり、MACに対する抗菌薬治療が必要なケースもあります。
つまり、一部の症例では感染症の側面を有している可能性が示唆される点が、他のHPと少し違うところです。
解説2
本症例:
画像は典型的な非線維性HPであり、国家試験や卒業試験でも頻出です。しかし、研修医にもかかわらず診療指針を読み、HPに気づいたB先生はお見事です。
そして最も重要なのは、山ほどある問診項目を丁寧に患者さんに聞き、原因と思しき抗原を特定したことです。典型的画像、肺の病理所見、気管支肺胞洗浄のリンパ球増多などからHPと診断は可能ですが、HPでは原因の特定と排除が何より重要です。
B先生は「うわ~これ全部聞くのか、つらすぎる!」と思ったはずですが、研修医という立場で、とても素直なので丁寧に問診して突き止めたのは大手柄でした。
実際に自宅のジェットバスで症状が再現され、原因が同定されました。ジェットバスの清掃、配管やシステム交換、あるいは使用中止など、具体的な対策につなげることができます。
本症例は、若手医療者に「診療指針を読むこと」と「HPにおける原因特定の徹底的問診の重要性」を伝えることを目的としています。今回のエピソードも過去の実例を基に再現したものです。掲載している匿名画像は Respirol Case Rep. 2024 Feb 13;12(2):e01293. より引用しています。
また、本疾患は、お風呂が原因である以上、原因部位に菌が繁殖しないように適切な清掃が必要です。
自宅内に該当するシステムがある場合や、該当施設によく行く場合は要注意です。
またシャワーヘッドは、実は内部に本菌が生息している可能性があり、適宜掃除をしてください。

<スマートフォンをご利用の皆さまへ>
他の記事をご覧になりたい場合は、画面下の「メニュー」「検索」「サイドバー」を使って、気になる話題を検索することもできますので、ぜひご活用ください。
<PCをご利用の皆さまへ>
他の記事をご覧になりたい場合は、画面上部のメニューバーや画面右側のサイドバーをご利用いただき、気になる話題をお探しください。
