免疫抑制状態で遭遇することのあるニューモシスティス肺炎(PCPまたはPJP)は、胸部高分解能CT(HRCT)での典型像を知っておくことで、早期診断・適切な対応につながります。
今回は、若手医師・研修医の方向けに「どこに陰影が出るか(分布)」「どんな所見が典型か」「HIV陽性例と陰性例での若干の違い」「画像上似ている鑑別疾患」を整理しました。診療現場で“あれ?この像PCPかも”と思えるようになることを目指します。
PCP・PJPを押さえておこう
- ニューモシスティス肺炎は Pneumocystis jirovecii によって引き起こされる肺炎で、典型的には 免疫抑制状態(HIV感染例、長期ステロイド投与、造血器腫瘍、臓器移植後など)において発症します。
- 英語では Pneumocystis pneumonia と呼ばれ、かつて病原体が Pneumocystis carinii とされていた時代には PCP(Pneumocystis carinii pneumonia) の略称が用いられていました。
その後、病原体の学名が Pneumocystis jirovecii に改訂されたことから、現在ではより正確な表記として PJP(Pneumocystis jirovecii pneumonia) が一般的です。 - ただし、“Pneumocystis pneumonia” の頭文字を取った PCP という略称も、臨床現場や文献中でなお広く使用されています。
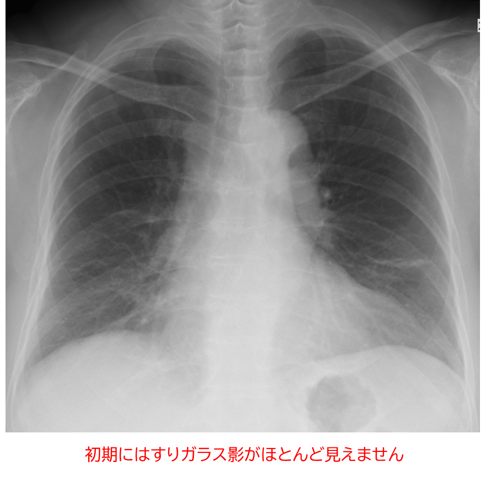
胸部X線で異常なし――それでもPCPを疑うべきとき
- PCPの初期には、胸部X線写真では明らかな異常が認められないことも少なくありません。
しかし、臨床的には低酸素血症や乾性咳嗽(から咳)などの症状を呈し、免疫抑制状態といった背景から本症を疑って胸部HRCTを撮影すると、初めて異常所見が確認されることがあります。 - HRCTは、胸部単純写真よりも早期かつ軽度の肺実質変化を描出できるため、PCPを疑う際には非常に有用な検査です。ただし、発症初期ではCT所見も微妙で、非専門科医には判別が難しい場合があることも念頭に置く必要があります。


HRCTで覚えておくべき典型所見と分布
1 所見
- 両側性・対称性の すりガラス陰影(ground-glass opacity; GGO) が最も頻出。
- GGOに加えて、小葉間隔壁肥厚/内小葉線状影が重なって “crazy paving(敷石状陰影)” を呈することあり。
- 薄壁の 嚢胞(cyst) の合併が一定頻度で報告される。
- コンソリデーション(浸潤影)や気胸合併もあり得るが、典型像ではGGO主体。

2 分布(“どこに出やすいか”)
- 両肺にほぼ均等に広がることが多い。
- 肺門近傍から肺野内側にかけて広がるパターンが典型的。
- 胸膜直下(subpleural)領域が比較的温存される(=subpleural sparing)傾向。
- 病勢が進むと、区域をまたいで “地図状・モザイク状” に陰影が連続するような広がりを示すことも。

3 HIV陽性例 vs 非HIV免疫抑制例での違い
- HIV陽性例では、発症が比較的緩徐で、陰影も典型的なパターンを取ることが多い
- 非HIVの免疫抑制症例(例:ステロイド・化学療法・移植後など)では、発症がより急速・重症化しやすく、HRCTでの陰影も広範・進展が速いという報告があります。
- 嚢胞形成の頻度に関しては、HIV陽性例のほうがやや多め
しかし、HIV陽性・陰性で「必ず像が違う」というのではなく、背景・進行スピード・合併症傾向が異なるという理解ですね。
画像上で似て見える鑑別疾患とその“ヒント”
以下は、PCPと画像所見が似て見えやすい主な鑑別疾患と、若手医師として覚えておくべきポイントです。
| 鑑別疾患 | 典型所見・分布 | PCPとの鑑別ヒント |
|---|---|---|
| 肺胞蛋白症 | 両側GGO+著明なcrazy paving。下肺〜末梢優位。 | PCPよりも嚢胞少ない。PAPは症状軽く、炎症もない。臨床所見やβDグルカンで鑑別可能。 |
| 急性好酸球性肺炎 | びまん性GGO+浸潤影+胸水あり。喫煙歴・急性発症。 | AEPは胸水が多く、急激な発症背景あり。PCPでは胸水少ない。 |
| びまん性肺胞出血 | GGO・浸潤影が急速変化。出血所見・貧血伴う。 | DAHは出血所見・血痰・急変背景。BALで鑑別。 |
| 器質化肺炎 | 末梢優位浸潤影+“逆ハロー(atoll)サイン”も。 | OPは分布が末梢優位かつコンソリデーション強め。 |
| サイトメガロウイルス肺炎(CMV) | 免疫抑制例でGGO+小葉中心結節+浸潤影。 | CMVは小結節・気管支周囲陰影が手掛かり。CMVアンチゲネミアやPCRで鑑別。しかしPCPとCMVの併存がありえるので注意。 |
| その他のウイルス性肺炎 | 多彩。GGO+浸潤影主体 | 接触歴、PCR検査、Filmarray、抗原検査など。 インフルエンザやCOVID-19など |
| 薬剤性肺炎・肺障害 | 多彩だが、PCP様のパターンに似ることがある。 | ここ数か月以内に新規に開始した薬剤の問診 まずは疑うこと。 |
| 過敏性肺炎 | 小葉中心性の粒状影、両側GGO、モザイクパターン、3-densityサイン、 | 両側GGO+モザイクパターンの場合には画像上の鑑別難しいが、臨床背景やβDグルカンで鑑別可能。 |
若手医師向け “実践チェックリスト”
- 免疫抑制因子(HIV陽性・長期ステロイド・化学療法・移植歴など)をまず確認。
- HRCTで「両側びまん性GGO+小葉間隔壁肥厚/crazy paving傾向+/-嚢胞」の像があれば、まずPCPを候補に。
- 分布が「中心優位(肺門側)+胸膜直下温存(subpleural sparing)」というパターンが出ていれば、PCPを疑いやすい。
- 嚢胞や気胸合併があれば、特にHIV陽性例で典型的だが、非HIV例でも注意。
- 画像のみで確定せず、臨床背景・検査(β-D-グルカン、PCR・気管支鏡検査など)と併用判断。
- 早期治療介入が予後を左右するため、「この像ならPCPあり得る」と思ったら速やかに対応を考える。
まとめ
PCPを捉える鍵は、まず臨床背景からPCPの可能性を挙げ、HRCTを撮影すること。そして、PCPを念頭において「どこに、どんな陰影が出ているか」を意識することです。
典型は「両側びまん性GGO/中心優位+胸膜直下温存/時に嚢胞形成」。
HIV陽性例・陰性例で経過・合併症の傾向には差がありますが、像そのものの大枠は共通しています。
他の関連記事はこちら:
若手医師のための ニューモシスティス肺炎の胸部HRCTワンポイントガイド
若手医師のためのニューモシスティス肺炎:HIV陰性患者における臨床像

<スマートフォンをご利用の皆さまへ>
他の記事をご覧になりたい場合は、画面下の「メニュー」「検索」「サイドバー」を使って、気になる話題を検索することもできますので、ぜひご活用ください。
<PCをご利用の皆さまへ>
他の記事をご覧になりたい場合は、画面上部のメニューバーや画面右側のサイドバーをご利用いただき、気になる話題をお探しください。
