Likelihood of Usual Interstitial Pneumonia: A Novel Approach to Prognosis for Pulmonary Fibrosis. John A. Mackintosh, et al. Respirology, 2026.
以下上記の論文から引用します。
はじめに

肺線維症(特にIPF)では、HRCTで「UIPっぽいかどうか」が予後にも診断にも非常に大事ですよね。
ただ実臨床では、2018年ATS/ERS/JRS/ALATガイドラインの分類(definite/probable/indeterminate/alternative)のように、HRCT所見を4つのカテゴリーに強引に当てはめる形で評価します。
ここが問題で、UIPっぽい所見がかなりあっても、ちょっと非典型所見(例:モザイク・GGOなど)が混ざっただけでalternativeに判定され、UIP成分が“無かったこと”になりやすい場合があります。

そこで著者らはこう考えました:
「カテゴリではなく、“definite UIPの可能性(%)”として連続的に表した方が、予後を正しく反映できるのでは?」
これが本研究のコンセプトです
背景
線維性肺疾患において、通常型間質性肺炎(UIP)の放射線学的特徴は予後不良と関連する。
本研究の目的は、HRCTにおける「確実(definite)UIP」である可能性(likelihood)を、肺線維症患者の転帰規定因子として評価することである。
方法
オーストラリアIPFレジストリ(AIPFR)に登録された利用可能なHRCTを後ろ向きに、2名の放射線科医が再評価した。
放射線科医は、ATS/ERS/JRS/ALAT 2018の4つのUIP分類(definite UIP、probable UIP、indeterminate for UIP、alternative diagnosis)それぞれについて、合計が100%になるように「可能性(%)」を割り当てるよう求められた(例:definite UIP 5%、alternative to UIP 95%など)。
これにより、単一カテゴリに拘束されずに評価できるようにした。
UIPの可能性は、definite UIPカテゴリに割り当てられた可能性(%)として定義した。
加えて半定量的所見も推定した。
可能性スコアの予後予測能を評価するため、Cox比例ハザード回帰を行った。
結果
515例でHRCT解析が可能であった。
コホートの追跡期間中央値は4.1年(IQR 2.0–6.2年)であった。
ILD総病変量の中央値は30%(IQR 20–45%)であり、牽引性気管支拡張と蜂巣肺はそれぞれ96.3%、45.4%に認め、これら3変数はいずれも肺移植なし生存期間(transplant-free survival)の低下と関連した。
definite UIPパターンは26.4%、probable UIPパターンは32.4%で優勢であった。
definite UIPである可能性(%の連続量)は、
肺移植なし生存期間の低下(HR 1.12、95%CI 1.04–1.20;p=0.002)
12か月進行(HR 1.19、95%CI 1.04–1.35;p=0.009)
の両方と関連した。
これらの関連についてATS/ERS/JRS/ALAT 2018のガイドライン分類よりも優れていた。
結語
HRCTでdefinite UIPである可能性を推定・評価することが、肺移植なし生存期間および12か月の疾患進行と強く関連することを示した。

勉強したいと思います!!
結果のまとめ
研究の枠組み(まずここが重要)
本研究の面白さは、読影方法そのものにあります。
放射線科医2名がある患者さんのHRCTを評価する際に、
- definite UIP:◯%
- probable UIP:◯%
- indeterminate:◯%
- alternative:◯%
を合計100%になるように配分。
例えば、あるHRCT画像を評価した場合に、
- alternative 60%
- definite UIP 40%
のような評価を許す設計です。
そしてこのうちdefinite UIPに割り当てた%(=definite UIPらしさ)を
「Likelihood of definite UIP」
と定義して、予後との関係を検証しています。
わかりにくいかもしれませんが、
この症例がUIP所見がどれくらいあるか(広がり)ではなくて、そのカテゴリに該当する確信度だと思われます。

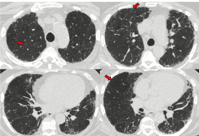
論文のFigure1を引用。この症例は、モザイクパターン(赤色矢印)の存在により、60%の確信度で「alternative」であると判断。しかし、放射線科医は同時に「definite UIP」の可能性も40%あると判断した。
対象と転帰
- HRCT解析可能:515例
- 追跡中央値:4.1年
- 死亡:328例、移植:51例
- 12か月進行(評価可能463例中):98例(21%)
- 肺機能低下 53
- 移植 7
- 死亡 38
一番重要な結果
① ガイドラインの「カテゴリ分類」だけだと、リスク差が出にくい
調整後解析(年齢・性別・ILD extent・牽引性気管支拡張など)では、
- definite UIPだけが予後不良
- probable / indeterminate / alternative の差がはっきりしない
つまり、カテゴリ分類はdefinite以外が団子になりやすい。
② Likelihood(definite UIPの可能性%)の方が予後をよく説明できた
Likelihood of definite UIP(%)は、
- 肺移植のない生存期間:HR 1.12(95%CI 1.04–1.20)p=0.002
- 12か月進行:HR 1.19(95%CI 1.04–1.35)p=0.009
と、予後不良・進行と関連しました。
要するに、カテゴリよりも
「definite UIP成分がどれくらいあるか」の方が予後をよく当てる、という結果です。
臨床で使いやすい「幅(threshold)」も提示
著者らは、Likelihoodを5段階にして使う案も出しています。
- 0–4%:UIPなし
- 5–29%:低確率
- 30–69%:中等度
- 70–99%:高確率
- 100%:確実
そしてこのうち70–99%や100%が高リスクであることが示されています(Table 2参照)。
結果の解釈
この研究の主張はかなりシンプルで、
HRCTをカテゴリで切ると「UIP成分」が見えなくなる。
UIPの“混ざり具合”を%で表す方が、予後をよく反映する。
という話です。
特に重要なのは、alternativeの中にもUIP-like成分が混ざっていて、そこが予後に影響する、という視点ですね。
限界
- HRCTと同時期の肺機能が揃っておらず、主要解析にFVC/DLCOを入れられなかった。
- 画像進行(radiologic progression)は評価していない
- レジストリが「臨床的IPF診断症例」であり、alternative群などで登録バイアスがあり得る
- 画像パターンの%評価は人間の目では簡単にできない(AIの評価がよいのかも?)。
- 今回の結果は、専門放射線科医の評価であり一般化はまだ難しい(胸部を専門としない放射線科医や呼吸器内科医の評価では再現できるかどうか?)
結果をどう活かす?
この研究のポイントは、「definite UIPパターンが予後不良」という従来の知見自体を覆すことではありません。むしろ重要なのは、definite UIP以外のパターンに分類された症例でも油断できない、という点です。
従来の分類では、HRCT所見は4つのカテゴリ(definite / probable / indeterminate / alternative)に振り分けられます。
しかしこの方法だと、たとえUIPらしい所見が一部に存在していても、別の所見が混ざることで「alternative」に分類され、UIP成分が評価から抜け落ちてしまうことがあり得ます。
本研究の「Likelihood of definite UIP」という考え方(UIPの広がりではなく、確信度)では、この問題を回避できます。
たとえば全体としては「alternative」寄りの所見であっても、definite UIPらしさが40%(=definite UIPの尤度40%)と評価できれば、その「UIP確率」の分だけ予後不良リスクと関連する可能性を捉えられます。
つまりこの研究は、“カテゴリ名(alternative)だけで安心しない”ための新しい見方を提示したと言えそうです。
<スマートフォンをご利用の皆さまへ>
他の記事をご覧になりたい場合は、画面下の「メニュー」や「サイドバー」からジャンルを選択してお楽しみいただけます。
また、気になる話題を検索することもできますので、ぜひご活用ください。
<PCをご利用の皆さまへ>
他の記事をご覧になりたい場合は、画面上部のメニューバーや画面右側のサイドバーをご利用いただき、気になる話題をお探しください。
