救急外来
他院から転院搬送、60歳男性。
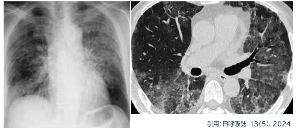
呼吸困難、レントゲンで肺水腫様?

指導医「ん~、肺炎?心不全?…ARDS?
B先生!ファーストタッチ頼んだぞ!」
研修医B「は、はいっ!」
—— 30分後 ——
研修医B「せ、先生っ!!大変です!
薬剤性肺障害かもです!う~んオウゴン?」
指導医「え?オウゴン?なんで…」
研修医B「なんかぁ…熱も咳も痰もないし、
心エコーも異常なくってぇ…
これ、肺炎・心不全とは言い切れんわ~
って思ってぇ…
どうせ、先週と同じ敗血症ARDSでしょ?
今度はだまされないぞ~?って思って、
全身チェックしても何もなくってぇ、
じゃあ、それも違うわ~
って思ってぇ…
……ん?ちょっと待てよ?
原因不明の肺炎見たら薬剤性を鑑別に挙げろ
特に薬剤開始後、3ヶ月以内に気をつけろ!
って『誰か』が言ってたわ~
あれ?この患者さん、ピンポイントで
2ヶ月前から漢方薬開始してるわ~
しかもこの漢方?
肺障害の報告が多いオウゴン含んでるわ~
これも『誰か』が言ってたわ~」
(ドキドキ)
——そして入院精査——
リンパ球幼若化試験でその漢方薬が陽性
その他もろもろで薬剤性肺障害と診断
指導医「それ、多分、俺だわ。」

解説1
薬剤性肺障害とは、
「薬剤投与中に起きた呼吸器系の障害のうち、薬剤と関連するもの」と定義されます。
原因薬剤は非常に多彩であり、あらゆる薬剤が原因になりえます。
一般の方の中には「漢方は安全」という認識をお持ちの方もいますが、漢方薬も他の薬剤と同様に、薬剤性肺障害のリスクがあります。なお、これは「漢方薬が特に危険」という意味ではありません。
薬剤性肺障害は、
発症までの期間もさまざまです。
投与後数分以内に発症するものもあれば、長期投与ののち、開始から数年を経て発症するものもあります。ただし一般的には、投与後2週~3か月以内に発症することが多いとされています。
画像・病理学的に、
多様なパターンを示し、NSIPパターン、OPパターン、HPパターン、DADパターンなどがあります。
このうちDADパターンは、肺水腫様の所見を呈することがあり、今回の症例はこの画像パターンに相当します。

治療も重症度によって異なります。
軽症であれば原因薬剤の中止のみで軽快することもありますが、重症例ではステロイドや免疫抑制薬による治療が必要となる場合もあります。
漢方薬について、オウゴンとは何か。

前述の通り、
漢方薬でも薬剤性肺障害は起こりえます。発症経過としては、漢方薬開始から2~3か月での発症が多いとされています。
原因薬剤として有名なのは、
肝機能改善や食思不振、胃腸虚弱などに用いられる小柴胡湯です。その他の漢方薬についてはスライドをご参照ください。
漢方薬を構成する生薬成分のうち、
肺障害の原因となる頻度が比較的高いものとして、黄芩(オウゴン)、桂皮(ケイヒ)などが挙げられます。
特にオウゴンを含む漢方薬による薬剤性肺障害の報告が多く、原因不明の肺炎を見た場合には、薬剤性を鑑別に挙げ、これらの漢方薬を内服していないか必ず問診することが重要です。
さらに、スライドに示すように、
ARDS、すなわち肺水腫様のDADパターンを呈する場合には、感染症、心不全、敗血症などとの鑑別が必要です。しかし原因がはっきりしない場合には、薬剤性も必ず鑑別に挙げる必要があります。
B先生は、
これまでの指導医の先生から「原因不明の肺炎を見たら、必ず薬剤性も鑑別に挙げなさい」と繰り返し指導を受けており、その教えを潜在意識の中にしっかりと刻み込んでいました。
今回の気付きは、まさにその積み重ねの賜物です。
お見事です。

注意です。
今回のポストの意図は、「漢方薬は必ずしも副作用のない安全な薬とは限らない」「原因不明の肺炎を見たら必ず薬剤性を鑑別に挙げるべき」という点をお伝えすることにあります。
決して「漢方薬が特に危険」という意味ではありません。目的に合った適切な使用であれば、漢方は非常に有用な治療手段です。
しかし、薬剤である以上、副作用は起こりえます。不適切な使用や、副作用が疑われる症状が出現した場合には、速やかな中止と、必要に応じた適切な治療が必要です。

<スマートフォンをご利用の皆さまへ>
他の記事をご覧になりたい場合は、画面下の「メニュー」「検索」「サイドバー」を使って、気になる話題を検索することもできますので、ぜひご活用ください。
<PCをご利用の皆さまへ>
他の記事をご覧になりたい場合は、画面上部のメニューバーや画面右側のサイドバーをご利用いただき、気になる話題をお探しください。
