救急外来。
32歳男性、胸部不快感。
血圧安定。 やや過換気で頻脈。SpO₂ 95%(酸素なし)
指導医「B先生、またファーストタッチお願い。胸部レントゲンも。」
研修医B「は、はいっ!」
—— 数分後 ——
研修医B「せ、先生っ!大変です!肺塞栓かもです!!」
指導医「は?なんで? 造影CTとる前に…」
研修医B「レントゲン異常なかったんですけどぉ…
心音聴いたらぁ…Ⅱ音がなんか大きくてぇ…
患者さん、トラック運転手さんでぇ…
休憩なしでずっと運転してたらしくってぇ…
急に胸が変になったらしくてぇ…」
(ドキドキ)
—— そして造影CT撮影 ——
指導医「はい、今日のMVP。」

解説
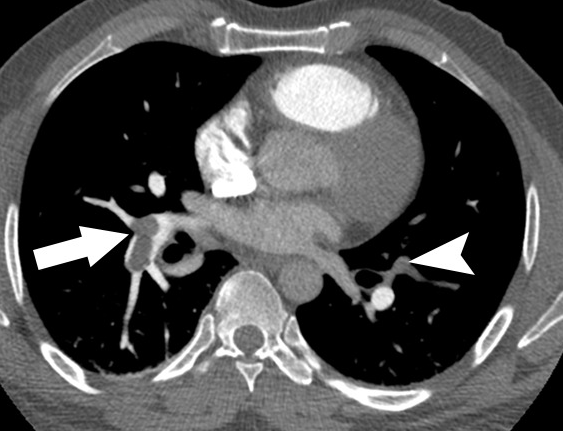
肺動脈造影CTは「足側から見上げるビュー」なので、 画像の左側=患者さんの右肺、右側=患者さんの左肺になります。
外周の白い部分は肋骨や椎体などの骨。
内部の白いのは造影剤で満たされた心臓・肺動脈。 矢印(→)部分は 本来造影されるべき肺動脈が“欠損”=血栓で詰まっている ことを示し、「肺血栓塞栓症」の診断となります。
今回の症例では、過換気や頻脈といった所見は特異的とは言えません。
しかし研修医BがⅡ音P成分の亢進に気づき、「肺動脈圧上昇=右心負荷」を疑った点がポイントです。 (正確に聴き分けるには訓練が必要)
さらに重要だったのは”病歴”でした。
患者さんは「トラック運転手で、休憩なしに長時間座位、動いた瞬間に胸が苦しくなった」とのこと。
これは飛行機での“エコノミークラス症候群”と同じメカニズムで、長時間の車移動による血栓症(いわば陸のエコノミー症候群、俗に“SUV症候群”) のリスクを示唆します。
研修医は“SUV症候群”という名前自体は知らなかったものの、病歴+聴診を組み合わせ、肺血栓塞栓症を疑い造影CTへつなげた、という症例でした。 (実は研修医B先生は、心電図の右心負荷所見S1Q3T3を先に見ていたので聴診でもそう思ったそうです….)
尚、本症例は、学生さんや研修医など若手医療者に「病歴聴取の重要性」を伝えることを目的としております。
また、今回のエピソードも過去の実例を基に再現したものです。
掲載している匿名画像は、下記より引用しています。
The RSNA Pulmonary Embolism CT Dataset. Colak E, et al. Radiol Artif Intell. 2021. PMID: 33937862

<スマートフォンをご利用の皆さまへ>
他の記事をご覧になりたい場合は、画面下の「メニュー」「検索」「サイドバー」を使って、気になる話題を検索することもできますので、ぜひご活用ください。
<PCをご利用の皆さまへ>
他の記事をご覧になりたい場合は、画面上部のメニューバーや画面右側のサイドバーをご利用いただき、気になる話題をお探しください。
