救急外来。
救急外来。
51歳男性、発熱、嘔吐、下痢。
体温39℃、脈拍80回/分、SpO₂95%。
指導医「胃腸炎か? B先生、ファーストタッチ頼んだぞ!」
研修医B「は、はいっ!」
—— 数分後 ——
研修医B「せ、先生っ! 大変です! レジオネラ肺炎かもです!!」
指導医「嘔吐下痢だろ? なんで肺炎??」
研修医B「話聞いたらぁ…なんかぁ…
ろれつ回ってなくてぇ……
なんか変でぇ……
熱あるのに脈そんなに速くなくてぇ…
聴診したら肺に雑音あってぇ……
で…奥さんに聞いたらぁ……
先週“日帰り温泉”行ったらしくてぇ…」
(そわそわ)
—— そしてCTと検査 ——
レジオネラ尿中抗原検査
なんと陽性ッ!!
指導医「B、おまえ…ゾーンに入ったか」

解説
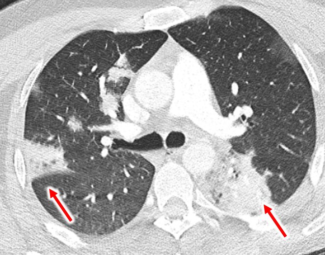
胸部CTは“足側から見上げるビュー”で撮影されているため、画像の左側=患者の右肺、右側=左肺に相当します。
左右の赤い矢印の部位には白い陰影が認められ、肺炎に特徴的な浸潤影と判断できます。
今回の症例では、発熱と嘔吐・下痢といった一見すると胃腸炎を疑わせる症状で受診しました。
しかし問診を進めると、ろれつが回らない(軽度の意識障害)という違和感のある所見がありました。
さらに、通常39℃ の発熱であれば脈拍は90〜110/分程度に上昇するところ、本症例では80/分とあまり上がっておらず、「比較的徐脈」に該当します。
胃腸症状に注意を奪われがちですが、丁寧に聴診すると右肺に雑音(異常呼吸音)があり、ここで“肺炎”を疑う根拠が揃います。
これらの所見は、いずれもレジオネラ肺炎を疑う重要なヒントになります。
このため、ここからは環境曝露歴の聴取が非常に重要となります。
レジオネラは特定の環境で増殖し、そこから発生したミストを吸入することで感染・発症することがあります。
本症例でも、病歴から 「日帰り温泉の利用」 が判明し、レジオネラ感染を示唆する大きな手がかりとなりました。
レジオネラの特徴や、そのリスク環境・職業については、スライドをご参照ください。

尚、本症例は、学生さんや研修医など若手医療者に「症状と所見の全体像の評価」「環境曝露歴聴取」の重要性を伝えることを目的としております。
また、今回のエピソードも過去の実例を基に再現したものです。掲載している匿名画像は、Radiopediaより引用しています。

<スマートフォンをご利用の皆さまへ>
他の記事をご覧になりたい場合は、画面下の「メニュー」「検索」「サイドバー」を使って、気になる話題を検索することもできますので、ぜひご活用ください。
<PCをご利用の皆さまへ>
他の記事をご覧になりたい場合は、画面上部のメニューバーや画面右側のサイドバーをご利用いただき、気になる話題をお探しください。
