救急外来。
51歳男性、胸部不快感。バイタル安定。
指導医「B先生、ファーストタッチお願い!ついでに心電図も。」
研修医B「は、はい!」
—— 数分後 ——
研修医B「せ、先生っ!大変です!気胸かもです!う〜ん……3度かも?」
指導医「えっ、なんで? レントゲンとる前にそんな……」
研修医B「私ぃ、心電図とる前にぃ…心音聴いたんですけどぉ……
なんか心音弱いしぃ……しかも“中央に寄ってる”感じしてぇ……」
(もじもじ)
—— そしてレントゲン撮影 ——
指導医「天才かよ。」

解説
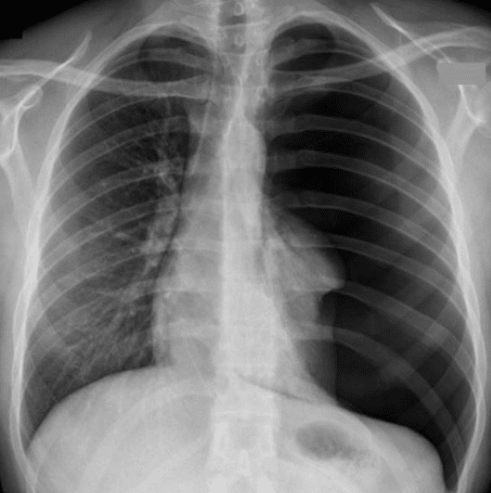
X線写真は、患者さんがこちら側(読影者側)を向いているビューなので、この画像の左側=患者さんの右肺。こちらは肺血管が末梢まで追えており正常です。
一方、画像の右側=患者さんの左肺。 こちらは肺血管の模様が見えず、ほぼ黒いので左肺が虚脱して空気が貯留していることを意味します。
これで左気胸と判断できます。
ほぼ完全に虚脱しているため、重症度は 3度になります。
さらに心臓は本来の位置よりもこの画像の左方向(=患者さんの右側)に偏位しており、本来なら心音はやや左胸(この画像だと右側)で聴取されるはずが、本症例では心音の位置が中央にずれていた。
つまり、研修医はレントゲンを見る前に、心音の強さと位置から心臓偏位を察知し、3度気胸を予測していたことになります。
実際は呼吸音の左右差や左呼吸音の減弱などの所見から左気胸の存在を鑑別に挙げることができると思いますが、研修医Bはその先を行っていて、心音の位置評価が重症度予測につながった、という勉強になったケースでした。

<スマートフォンをご利用の皆さまへ>
他の記事をご覧になりたい場合は、画面下の「メニュー」「検索」「サイドバー」を使って、気になる話題を検索することもできますので、ぜひご活用ください。
<PCをご利用の皆さまへ>
他の記事をご覧になりたい場合は、画面上部のメニューバーや画面右側のサイドバーをご利用いただき、気になる話題をお探しください。
